常见的病理浸润细胞

 1/13    1 2 3 4 5 6 下一页 尾页

本图出自《常见的病理浸润细胞》

小淋巴细胞

小淋巴细胞

浆细胞

浆细胞

组织细胞

组织细胞

载黑素细胞

载黑素细胞

上皮样细胞

上皮样细胞

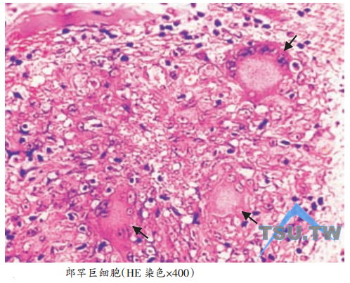
郎罕巨细胞

郎罕巨细胞

异物巨细胞

异物巨细胞

Touton巨细胞

Touton巨细胞

泡沫细胞

泡沫细胞

肥大细胞

肥大细胞

中性粒细胞

中性粒细胞

嗜酸性粒细胞

嗜酸性粒细胞

常见的病理浸润细胞

皮肤科学基础

皮肤组织病理学

常见的病理浸润细胞

TSU.TW 天山医学院 医学图片大全

在线医学第一站 免费专业的医学知识库

建议:TSUTW#OUTLOOK.COM