小汗腺汗孔癌(恶性汗腺汗孔瘤)

 1/5    1 2 3 4 5 下一页 尾页

本图出自《小汗腺汗孔癌(恶性汗腺汗孔瘤)》

小汗腺汗孔癌患者头部病变症状

小汗腺汗孔癌患者头部病变症状

小汗腺汗孔癌患者面部症状

小汗腺汗孔癌患者面部症状

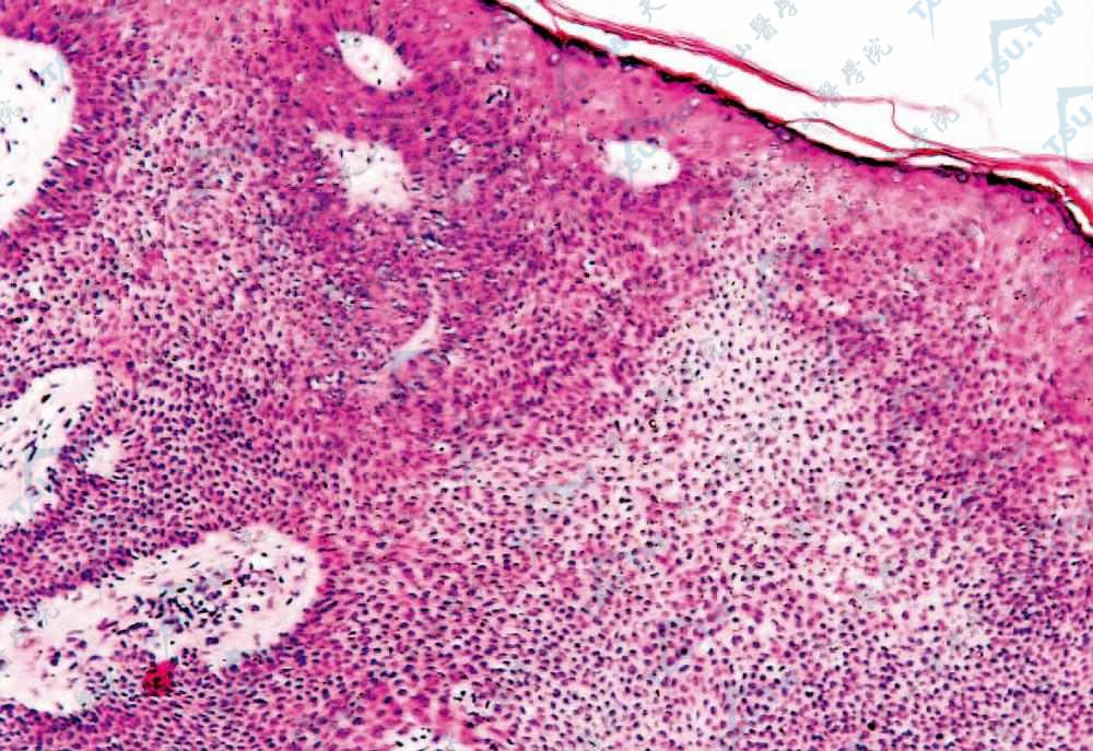
小汗腺汗孔癌 肿瘤位于表皮内,由基底样细胞和少数呈团块状分布的不典型嗜伊红鳞状细胞组成

小汗腺汗孔癌 肿瘤位于表皮内,由基底样细胞和少数呈团块状分布的不典型嗜伊红鳞状细胞组成

小汗腺汗孔癌 周围基底样细胞体积较小,呈立方形,排列紧密,中央不典型嗜伊红鳞状细胞体积较大,核深染,有明显异型性

小汗腺汗孔癌 周围基底样细胞体积较小,呈立方形,排列紧密,中央不典型嗜伊红鳞状细胞体积较大,核深染,有明显异型性

小汗腺汗孔癌(恶性汗腺汗孔瘤)

皮肤病治疗大全

表皮肿瘤与囊肿

小汗腺汗孔癌(恶性汗腺汗孔瘤)

TSU.TW 天山医学院 医学图片大全

在线医学第一站 免费专业的医学知识库

建议:TSUTW#OUTLOOK.COM