化生性骨化

本图出自《化生性骨化》

化生性骨化:右足X线影像示正、斜位片见第一跖骨旁有钙化影

化生性骨化:右足X线影像示正、斜位片见第一跖骨旁有钙化影

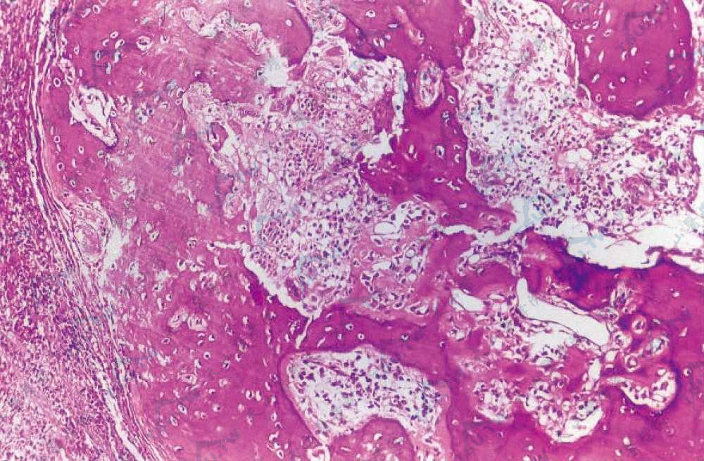
化生性骨化:真皮内见成骨细胞和破骨细胞,骨组织周围有明显的血管和细胞的组织反应,见大量炎细胞浸润

化生性骨化:真皮内见成骨细胞和破骨细胞,骨组织周围有明显的血管和细胞的组织反应,见大量炎细胞浸润

化生性骨化

皮肤病治疗大全

脂肪、肌肉和骨组织肿瘤

化生性骨化

TSU.TW 天山医学院 医学图片大全

在线医学第一站 免费专业的医学知识库

建议:TSUTW#OUTLOOK.COM