蕈样肉芽肿(蕈样霉菌病)诊疗研究详解

蕈样肉芽肿,斑片期色素性皮损

又称蕈样肉芽肿前期。皮损多形。腘窝处境界清楚的红斑,有鳞屑,似湿疹、皮炎改变,有轻度浸润,瘙痒剧烈

蕈样肉芽肿斑块期:颈项部浸润性结节,融合成大片斑块

蕈样肉芽肿肿瘤期:在浸润斑块基础上出现大小不等的肿瘤,可达鸡蛋大,同时有多数浸润性斑或斑块,暗红色



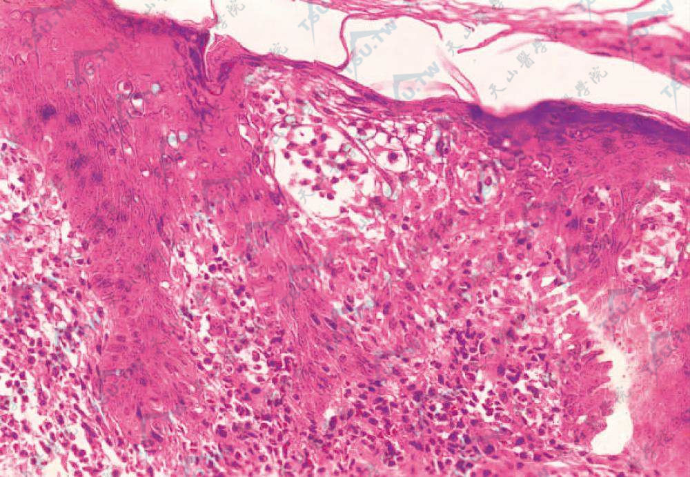
早期蕈样肉芽肿的组织病理学诊断标准

CTCL的TNM分期标准

CTCL的分期分类与预后

蕈样肉芽肿(蕈样霉菌病)诊疗研究详解
【皮肤病治疗大全】
⇓
⇓

蕈样肉芽肿,斑片期色素性皮损

又称蕈样肉芽肿前期。皮损多形。腘窝处境界清楚的红斑,有鳞屑,似湿疹、皮炎改变,有轻度浸润,瘙痒剧烈

蕈样肉芽肿斑块期:颈项部浸润性结节,融合成大片斑块

蕈样肉芽肿肿瘤期:在浸润斑块基础上出现大小不等的肿瘤,可达鸡蛋大,同时有多数浸润性斑或斑块,暗红色



早期蕈样肉芽肿的组织病理学诊断标准

CTCL的TNM分期标准

CTCL的分期分类与预后

蕈样肉芽肿(蕈样霉菌病)诊疗研究详解
【皮肤病治疗大全】
⇓
⇓