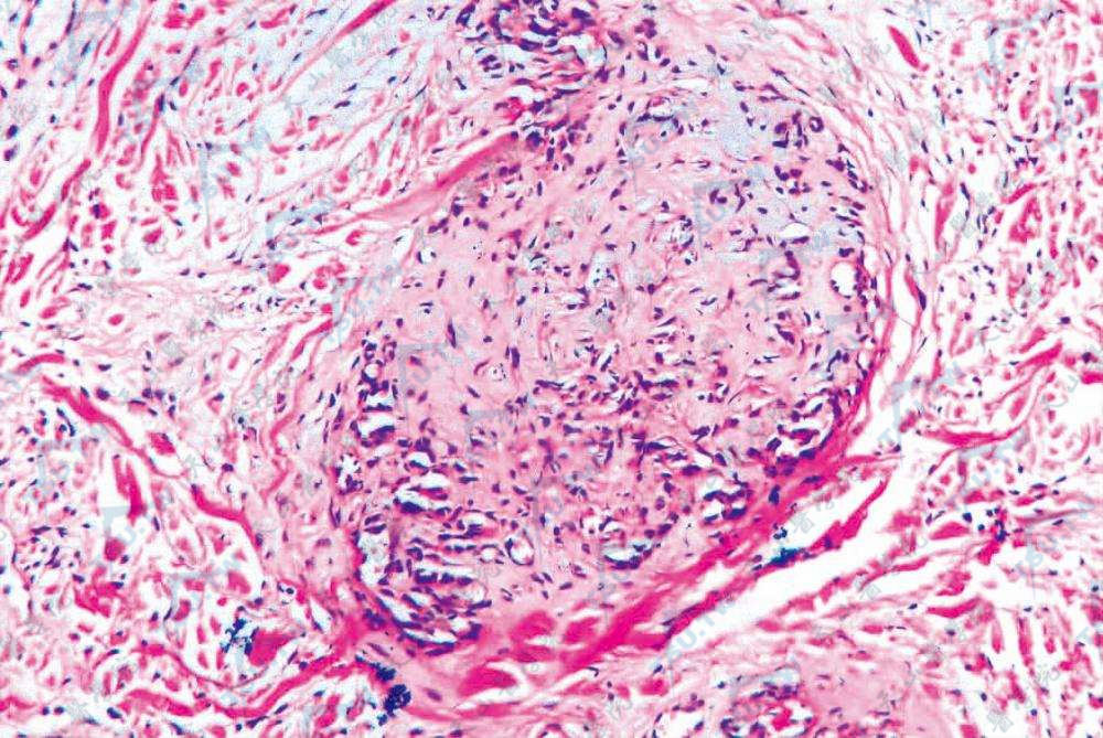
丛状血管瘤(Tufted Angioma)组织病理学改变

本图出自《丛状血管瘤(Tufted Angioma)》

丛状血管瘤(Tufted Angioma)组织病理学改变

丛状血管瘤(Tufted Angioma)组织病理学改变

皮肤病治疗大全

结缔组织肿瘤

丛状血管瘤(Tufted Angioma)

TSU.TW 天山医学院 医学图片大全

在线医学第一站 免费专业的医学知识库

建议:TSUTW#OUTLOOK.COM